病例简介
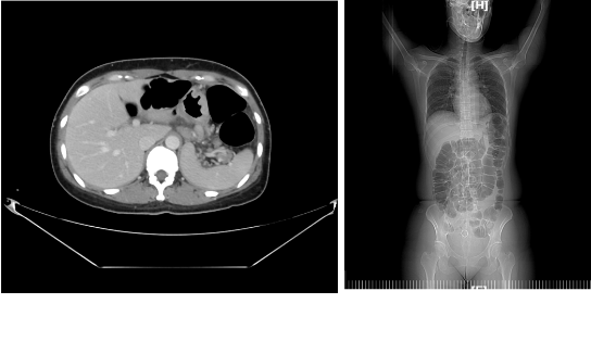
基本情况:女性,42岁,因“大便变细,腹胀伴呕吐”于2014-4-5至我院就诊。查胃镜示:低分化腺癌,CT示:胃癌并盆底种植、肠梗阻胃癌并盆底种植,胃周淋巴结转移,不完全性梗阻,左侧输尿管受累并近端泌尿系轻度积水扩张。为了解除梗阻,于2014-4-8予行剖腹探查术,术中见肿瘤种植至盆腔致冰冻骨盆,遂予行乙状结肠造瘘术,并行腹腔结节活检。术后病理提示:胃低分化腺癌,HER2(+++),CK20(+),CK7(+),CDX2(+),CEA(+),术后恢复良好。
中山大学附属第六医院肿瘤内科 凌家瑜 邓艳红
病例简介
基本情况:女性,42岁,因“大便变细,腹胀伴呕吐”于2014-4-5至我院就诊。查胃镜示:低分化腺癌,CT示:胃癌并盆底种植、肠梗阻胃癌并盆底种植,胃周淋巴结转移,不完全性梗阻,左侧输尿管受累并近端泌尿系轻度积水扩张。为了解除梗阻,于2014-4-8予行剖腹探查术,术中见肿瘤种植至盆腔致冰冻骨盆,遂予行乙状结肠造瘘术,并行腹腔结节活检。术后病理提示:胃低分化腺癌,HER2(+++),CK20(+),CK7(+),CDX2(+),CEA(+),术后恢复良好。
影像学检查:

病例小结
女性,42岁,诊断:1.胃低分化腺癌腹腔盆腔广泛种植转移,HER2+++. 2.乙状结肠造口术后 3.不完全性肠梗阻
讨论问题
一、HER2+++晚期胃癌一线治疗使用靶向+化疗,配伍的化疗方案选择?
二、胃癌腹腔转移减瘤术的适应症
三、HER2+++晚期胃癌一线赫赛汀治疗失败后,二线、三线的方案选择?
四、晚期胃癌对症支持治疗
讨论专家
(1).png)
彭俊生教授 中山大学附属第六医院 食管胃肠外科
贾筠 教授东莞市人民医院肿瘤内科
邹青峰教授 广州医学院附属肿瘤医院肿瘤内科
郭增清教授福建省肿瘤医院内科
宋荣峰教授江西省肿瘤医院肿瘤内科
肖健教授中山大学附属第六医院 肿瘤内科
如何制定治疗策略
讨论问题一:HER2+++晚期胃癌一线治疗使用靶向+化疗,配伍的化疗方案选择?
邹青峰教授:HER2+++晚期胃癌一线治疗选择曲妥珠单抗赫赛汀联合化疗,ToGA研究设计的方案是PF方案,这是一个经典方案,目前衍生的XELOX或者FOLFOX方案临床更加常用。
贾筠 教授:NCCN指南讨论部分描述,赫赛汀可与胃癌有效化疗方案配伍,但是避免与蒽环类药物联用以防心脏毒性的叠加。有研究提示,赫赛汀与紫衫类联用起协同效应,该患者胃癌腹腔转移症状明显,可考虑使用紫衫类联合化疗方案。
结论
十几年前赫赛汀已被批准用于治疗HER2阳性晚期乳腺癌,FDA批准是基于一项名为ToGA的国际III期研究的积极结果,该研究显示接受赫赛汀联合化疗的患者比仅接受化疗的患者活得更长。ToGA入选了594名局部晚期或转移性HER2阳性胃癌患者,这些患者被随机分配接受赫赛汀联合化疗(顺铂加卡培他滨或5-FU)或单用化疗。最终的总生存期(OS)分析结果表明,与单用化疗相比,赫赛汀联合化疗使总生存期提高37%(基于HR=0.73,95% CI 0.60-0.91,P=0.0038,中位总生存期 13.5 vs. 11.0个月)。HER2水平较高的肿瘤患者(IHC3+或IHC2+/FISH阳性,ToGA研究中16%的患者进行了HER2检测)从增加赫赛汀中受益更大。这些患者在该研究中的总生存期平均为16个月,而单独接受化疗的患者的总生存期平均为11.8个月。欧盟适应症建议将赫赛汀用于HER2水平较高的患者。在ToGA研究中,赫赛汀的安全性与以往治疗HER2阳性乳腺癌的研究一致,且在赫赛汀联合化疗组未观察到新的或预料之外的不良事件(赫赛汀组中一名患者以及比较组中两名患者出现心衰)。该试验中所有患者均使用由Dako公司开发的两项结合诊断方法对其肿瘤的HER2状态进行了检测。根据ToGA中的HER2筛查结果(同时使用HER2IHC和FISH诊断检测),大约22%的转移性胃癌患者患有HER2阳性肿瘤。研究入选需要通过以上两种方法中的任意一种检测出HER2过表达结果为阳性。NCCN指南提示,基于ToGA研究结果,指南推荐曲妥珠单抗联合化疗(联合顺铂和氟尿嘧啶为1类;联合其他化学药物为2B类)用于HER2阳性(IHC3+或IHC 2+ 且HER2扩增)的晚期或转移性胃癌患者的一线化疗。是否联合含紫杉类药物会优于含铂类的方案还有待研究进一步证实。
诊疗经过
该患者入组了徐瑞华院长主持的赫赛汀治疗晚期胃癌的研究,于2014-4-18至2014-7-15行赫赛汀300mg+多西他赛90mg+希罗达1.5 bid×14d q3w方案化疗第1-6程,第2、4、6程复查CT,疗效评估:PR。腹痛腹胀明显缓解,胃纳、大便正常。毒性可耐受,1°脱发、2°粒缺。2014-8-4至2015-08-25行予赫赛汀400mg+希罗达1.5 bid×14d q3w方案维持化疗第1-16程,每6周复查CT(平扫或增强)、每12周复查心脏彩超。PFS:17.2月。
讨论问题二:胃癌腹腔转移细胞减灭术的适应症?
患者在治疗过程中曾经出现标记物完全正常,腹部CT提示只有1-2个小结节,肝、肺无转移,PS 0分的时期。该患者是否能从腹膜转移瘤细胞减灭术中获益?
郭增清教授:患者为中年女性,应用靶向+化疗治疗效果好,症状改善明显,而且没有实质器官转移,内科合并症少,应该尝试第二次剖腹探查,但是承担脱组的风险。
彭俊生教授、宋荣峰教授:患者为胃癌腹腔盆腔广泛转移,盆腔种植致冰冻骨盆,盆腔种植结节侵犯穿透直肠壁至粘膜层、手术意义不大,应该继续停留在临床研究中,持续使用原方案直到进展。
结论
腹膜切除术是近年来针对胃癌腹膜转移外科治疗提出的一个新概念,系指对有明显转移灶的腹膜施行区域性腹膜切除,其适应证为转移性病灶在腹膜分布有限而无肝转移和远处淋巴结转移。初步临床研究表明,腹膜切除术与常规手术相比,在治疗腹膜复发和延长术后生存时间方面有较显著改善,但作为一种新的术式,其具体操作和要求在不同国家和地区仍有差异,有待进一步探讨和完善,使其标准化和具有可比性。日本胃癌研究会将腹膜扩散程度分为P0(无腹膜扩散),P1(胃癌附近腹膜,大网膜及横结肠系膜扩散,即接近病灶的腹膜转移),P2(横结肠下及膈肌腹膜少数癌灶,即远处腹膜少许转移灶),P3(远处腹膜多数癌灶扩散,即远处腹膜大量转移灶)。P1的患者尽量争取手术切除,术后辅以静脉和腹腔化疗;但P2和P3的患者如无原发病灶并发症并不推荐手术,尤其广泛转移出现严重肠梗阻的患者,以姑息静脉化疗为主。
诊疗经过
经过MDT讨论:继续全身治疗至进展。
讨论问题三:HER2+++晚期胃癌一线赫赛汀治疗失败后,二线、三线的方案选择?
肖健教授:赫赛汀一线治疗失败后,可以根据用药历史选择潜在有效药物,这位患者一线用过紫衫类和氟尿嘧啶类药物,第一次进展后重新诱导的方案为赫赛汀+紫衫类+铂类,停用了氟尿嘧啶类药物(卡培他滨),快速进展,目前重新出现肠梗阻和腹痛的症状。需要有效的方案控制症状,二线建议选择伊立替康+/-氟尿嘧啶方案治疗。如果该方案再次进展,可应用三线的阿帕替尼单药治疗。
结论
晚期胃癌二线治疗方案的选择,取决于之前的治疗情况和患者身体情况。NCCN专家组的共识是,对于进展身体情况良好、能够耐受且能够经常评估毒副反应期或转移性胃癌患者,没有1类证据支持任何具体的二线或者三线治疗方案,这个领域也是目前研究的热点。对于晚期或转移的胃癌患者的二线治疗,也可选择多西他赛和伊立替康。局部进展、转移或复发胃癌患者常需进行最佳支持治疗。应当根据患者的体力状况决定单纯给予最佳支持治疗还是最佳支持治疗联合化疗。阿帕替尼是我国首个完全自主研发的抗癌新药,这是目前晚期胃癌靶向药物中唯一的口服制剂,可显着延长晚期胃癌患者的生存时间。同时,艾坦也是全球首个被证实在晚期胃癌标准化疗失败后,安全有效的小分子抗血管生成靶向药物。阿帕替尼治疗晚期胃癌III期临床研究证实:阿帕替尼可显著延长二线治疗失败的晚期胃癌患者生存期和无进展生存期;阿帕替尼组不良反应类型及发生率与已上市的同类小分子VEGFR抑制剂常见不良事件一致,且多数不良事件可控。因此,阿帕替尼的批准将为二线治疗失败的晚期胃癌患者提供新的治疗选择。
讨论问题四:晚期胃癌对症支持治疗
郭增清教授:患者反复肠梗阻,营养摄入不足,导致体能状态和化疗依从性下降。晚期胃癌患者有较高的营养不足和营养风险发生率,应进行量表评估,如营养风险筛查、体质量指数评定患者营养风险、营养不足情况,尤其对于其它脏器功能良好的年轻患者,尽早营养支持配合化疗,提高患者的依从性,使患者从尽量多的有效药物中获益。
.png)
附中山大学附属第六医院肿瘤内科简介:
肿瘤内科是中山大学附属第六医院(附属胃肠肛门医院)创建最早、学术梯队最强的集医疗、教学、科研于一体的肿瘤病种专业化科室。作为我院国家临床重点专科(胃肠外科)和广东省临床重点专科(结直肠肛门外科)的核心骨干科室之一,我科专注于消化系统肿瘤(结直肠癌、胃癌、肛管癌、食管癌、胃肠道间质瘤、胃肠道淋巴瘤、胰腺癌、肝癌等)的临床治疗与研究,尤其在低位直肠癌、转移复发性结直肠癌的多学科综合治疗、药物治疗及个体化治疗方面积累了丰富的临床经验,治疗水平和收治病人数量均居于全国领先地位。
.jpg)
科室自建立以来发展迅速,专业技术实力雄厚,形成了一批以中青年骨干医师为特色的临床和科研学术并重的医疗团队。现为中山大学肿瘤内科硕士学位授予点,有硕士研究生导师1人,高级职称2人,中级职称4人,住院医师10人,护理人员39人,其中拥有博士学位8人,硕士学位5人,其中科室邓艳红主任担任广东省医院协会肿瘤分子靶向治疗专业委员会副主任委员、中国南方肿瘤临床研究协会结直肠癌专业委员会副主任委员兼秘书长、广东省肿瘤学分会生物标志学组副组长、广州抗癌协会大肠癌专业委员会副主任委员、美国临床肿瘤学(ASCO)会员等多项学术任职。肿瘤内科作为我院消化道肿瘤多学科综合治疗协作团队(MDT)的核心科室之一,积极组织和参与我院胃肠外科、肿瘤内科、放疗、介入、病理、影像、超声、消化内科、内镜、营养和护理等多学科专家组成的联合门诊。通过采用多学科深度交流,共同协作的模式,对疑难病例制定最佳的治疗策略,使患者以最便捷的方式,最少的花费,得到最规范和最有效的治疗。