当前位置:肿瘤瞭望>百家>病例>正文

[教学MDT] 深度剖析:1例复杂乳腺癌转移病例

作者:肿瘤瞭望   日期:2016/2/26 15:25:20  浏览量:39702

肿瘤瞭望版权所有,谢绝任何形式转载,侵犯版权者必予法律追究。

编者按:这是北京国际肿瘤学术会议暨2015年北京医学会肿瘤学年会上的1例复杂乳腺癌病例,患者经历了激素受体变化,先后发生肺部和肝脏转移,通过多学科专家一步步的深度解析,相信我们对乳腺癌诊疗会有更加深入的认识。

  编者按:这是北京国际肿瘤学术会议暨2015年北京医学会肿瘤学年会上的1例复杂乳腺癌病例,患者经历了激素受体变化,先后发生肺部和肝脏转移,通过多学科专家一步步的深度解析,相信我们对乳腺癌诊疗会有更加深入的认识。

点击这里查看微信原文即可下载相关PDF原文件

 

  主持人:解放军海军总医院肿瘤科  杨平教授

  讨论嘉宾:北京大学肿瘤医院乳腺肿瘤内科  邸立军教授

  解放军海军总医院中西医结合肿瘤诊疗中心  陈玉卿教授

  解放军海军总医院外科  张夕凉教授

  解放军海军总医院肿瘤诊疗中心  郑伟教授

  中国医学科学院肿瘤医院腹部外科  毕新宇教授

  中国医学科学院肿瘤医院病理科  鲁海珍教授

  中国医学科学院肿瘤医院内科  马飞教授

  中国医学科学院肿瘤医院放疗科  房辉教授

  中国医学科学院肿瘤医院内科  兰波教授

 

  病例概览

  病例介绍

  基本情况:患者女性,40岁(2012年),2003年5月因左乳内下象限肿块在当地医院行肿块局部切除术,术后病理:“乳腺增生”;术后2个月切口不愈合,于当地医院行“清创缝合术”。2005年4月患者自觉左乳病变处肿痛并就诊于中国医学科学院肿瘤医院外科,查体:左乳内下象限包块,大小4 cm*4 cm,质硬,边界不清,皮肤表面可见陈旧性手术瘢痕,行包块穿刺,细胞学检测示可见癌细胞(讨论一、讨论二);6月份行左乳改良根治+Ⅰ期成形术,病理报告浸润性导管癌(Ⅰ~Ⅱ级),肿块2.0 cm,腋窝淋巴结无转移(0/25),免疫组化:ER(-)、PR(-)、HER-2(+++),TNM分期为T1N0M0 Ⅰa期,luminal分型HER-2阳性(讨论三)。

 

  讨论一:患者是否需要进行手术及选择哪种术式?

 

  张夕凉教授:首先,虽然患者肿块穿刺结果提示为可见癌细胞,但是并没有具体的病理分型,其次,十年前治疗乳腺癌最主要的方法是改良根治手术,因此推断该患者可能进行了改良根治术,但是现在此类患者可先选择辅助化疗的方案。

 

  鲁海珍教授:患者细胞学检测示“可见癌细胞”可能有一定倾向性,如小叶癌还是导管癌?当前的粗针穿刺会更明确。

 

  讨论二:如果进行手术切除治疗,是否可以保乳治疗?

 

  张夕凉教授:乳腺癌患者是否可以进行保乳手术不仅与肿物的大小有关,而且与患者本身乳房的大小也有关系,最重要的因素是钼靶、核磁等影像学结果提示病灶为多发还是单发。如果此患者是单发病灶,并且乳房体积足够大,把肿块切除后并不影响乳房的外观,那么是可以行保乳手术的。但是4 cm属于相对大的肿瘤,对于中国女性来说保乳有难度,如果选择保乳,需要行新辅助化疗。

 

  讨论三:对于Ⅰa期、HER-2(+)患者术后应该给予哪种术后辅助治疗?

 

  鲁海珍教授:浸润性导管癌属于目前病理学分型的浸润性非特殊型癌的范畴,乳腺癌组织学分级分为Ⅰ级(分化好)、Ⅱ级(中等分化)和Ⅲ级(分化差),主要从以下3个方面进行评估:①腺管成分;②核分级;③核分裂像。肿块的具体大小是对标本直接测量得到的。除了明确是否有淋巴结受累之外,还应明确是否有脉管、神经受累,目前认为脉管和神经受累对于患者预后有提示意义。免疫组化中ER(-)和PR(-)指染色全阴或着色细胞比例<1%,HER-2(+++)指>10%的肿瘤细胞胞膜均匀强着色。按我院目前分期标准为T1cN0,分子分型为HER-2过表达性。另外,目前还采用Ki-67指数区分luminal分型。

 

  马飞教授:2005年时免疫组化对HER-2检测全国尚不规范,常发现免疫组化与FISH结果不一致现象,可能与病理标本的存放、处理和使用的检测试剂都有关系。

 

  鲁海珍教授:近年我院对病理标本处理进行了规范,目前我院要求离体半小时内分离、固定肿瘤组织,以充分保护肿瘤抗原,确保免疫组化结果的准确性。另外,如果是保留乳头的手术,需要进行切缘检测。

 

  郑伟教授:按照2015年最新指南,患者接下来应该进行化疗联合靶向治疗,因为患者已经进行了根治术并且淋巴结未累及,所以暂时不考虑放疗。

 

  兰波教授:多个大型临床研究已经证实对于HER-2阳性的乳腺癌患者,在化疗基础上联合使用曲妥珠单抗可明显改善患者预后;因此NCCN指南推荐对激素受体阴性、HER-2阳性且肿瘤直径>1 cm的患者使用辅助化疗联合曲妥珠单抗的靶向治疗,化疗方案为AC序贯TH或者TCH方案;目前建议曲妥珠单抗使用的时间为1年,研究发现使用2年较使用1年无明显获益。

 

  病情介绍

 

  当时曲妥珠单抗尚未在国内上市,术后患者使用蒽环类(表阿霉素,EPI)联合紫杉醇(PTX)方案化疗4个周期。2008年患者出现咳嗽、咳痰、胸痛等症,复查胸部CT提示双肺多发转移病灶、胸膜转移、左前纵膈淋巴结转移、胸腔积液。

 

  讨论四:当前条件下晚期一线治疗方案如何选择,联合化疗or联合化疗+曲妥珠单抗,或联合两种抗HER-2单抗治疗,或手术治疗?对于伴有1~3个淋巴结转移的乳腺癌患者,如何选择放疗时机,考虑哪些因素?

 

  房辉教授:目前乳腺癌患者术后辅助放疗的明确适应症是晚期乳腺患者术后病理提示肿块直径≥5 cm或转移淋巴结数目≥4个。本例患者尚未达到严格的放疗标准。

 

  对于伴有1~3个淋巴结转移的乳腺癌患者,如果合并高危因素,建议进行术后辅助放疗,虽然到目前为止并没有研究表明对伴有1~3个淋巴结转移的乳腺癌患者进行术后辅助放疗能明显改善此类患者生存,但是一些大型回顾性的分层因素分析显示伴有1~3个淋巴结转移同时激素受体三阴性或者HER-2扩增型的乳腺癌患者术后局部复发风险大;其它高危因素包括瘤栓、肿块直径≥2 cm、淋巴结转移数目(伴有1个或2个淋巴结转移的患者预后明显差与伴有1个淋巴结转移的患者)、年龄≤40岁或绝经前、Ki-67指数(代表核增殖指数,值越高代表预后越差)、肿瘤细胞分化程度。因此我们建议对伴有1~3个淋巴结转移同时合并以上高危因素的乳腺癌患者,改良根治术后进行术后辅助放疗。

 

  邸立军教授:转移淋巴结数目≥4个一定会选择放疗,对于伴有1~3个淋巴结转移的乳腺癌患者,依据合并的高危因素和患者意愿决定是否放疗。是合并其中任意1个还是多个高危因素才建议进行术后辅助放疗?

 

  房辉教授:随着合并高危因素的增多,患者复发的风险会越来越大。我院回顾性分析显示高危因素增加1个,复发率约升高5%,高危因素越多,复发率越高,所以建议只要合并其中任意一种高危因素即可给予术后辅助放疗。

 

  提问:如果该患者无腋窝淋巴结转移,是否考虑放疗?

 

  房辉教授:回顾性分析报道,低危、T1~T2N0患者改良根治术后复发风险一般为5%左右,总体较低。但分层后伴有其它因素的患者复发风险是否更高,这种情况也可能存在,但目前尚未作为放疗指征。本例患者肿块<5 cm,尚未达到放疗指征,因此,不建议放疗。

 

  提问:①现今保乳术越来越多,如有前哨淋巴结转移或术后病理检测为ITC(孤立肿瘤细胞)或微转移(MI),由于这些患者不再进行腋窝淋巴结清扫,那么是否进一步放疗?②如果淋巴结累及≤3个或内乳淋巴结受累的放疗照射野的选择?

 

  房辉教授:国外研究曾经报道将伴有1个前哨淋巴结转移或微转移的保乳术后的乳腺癌患者随机分成两组,一组给予腋窝清扫术,另一组给予全乳腺保乳放疗,结果显示两组患者的复发率和总生存率均无明显差别。另外一个著名的研究是将伴有1~2个前哨淋巴结转移的乳腺癌患者随机分成两组,一组给予腋窝清扫术,另一组术后给予乳腺+腋窝区域放疗,结果显示两组患者的复发率和总生存率均无明显差别。所以临床上对于有1个前哨淋巴结转移的乳腺癌患者,我们建议给予术后辅助放疗,不仅可以达到和腋窝淋巴结清扫一样的治疗效果,而且不良反应明显减少,不产生上肢关节功能障碍、上肢水肿等腋窝淋巴结清扫术后较易出现的副反应。

 

  目前对于内乳淋巴结放疗的问题存在较大争议,一个比较著名的研究将入组患者分为两组,一组术后行乳腺或者胸壁照射,另一组术后行乳腺+内乳+锁骨上照射或者胸壁+内乳+锁骨上照射,结果显示后者总生存率明显高于前者,但是不能判断这种获益是归因于内乳照射还是锁骨上照射。一项法国的随机研究将具有高危因素(腋窝淋巴结转移或者肿块位于内象限)保乳术后患者分为两组,一组行乳腺区域放疗,另一组行乳腺+内乳区放疗,结果显示两组患者疗效无明显差异。关于内乳区照射的副反应方面,因为内乳区距离心脏较近,所以内乳区放疗会对心脏产生毒性影响,而且这种毒性反应会随着照射剂量的增加而增大,影响患者的远期生存质量和预后。所以除非患者有明确内乳区淋巴结转移,不将内乳区作为常规照射区域。

 

  问题:对于此类晚期乳腺癌患者,如何选择治疗方案(联合化疗or联合化疗+靶向治疗or手术治疗)?

 

  观点:目前的医疗条件可选择曲妥珠单抗+帕托珠单抗双靶联治疗;2008年当时的条件患者可以选择联合化疗+曲妥珠单抗的治疗方法。

 

  兰波教授:CLEOPATRA研究将HER-2阳性、转移性乳腺癌患者随机分为两组,一组给予多西他赛+曲妥珠单抗+安慰剂方案化疗,另一组给予多西他赛+曲妥珠单抗+帕妥珠单抗方案化疗,结果显示双抗治疗组的PFS和OS均优于单抗治疗组,可以使患者中位PFS和中位OS分别延长6.3个月和15.7个月。所以,对于HER-2阳性、转移性的乳腺癌患者,如果经济条件允许,建议使用双抗治疗。

 

  病情介绍

 

  2008年12月至2009年6月给予多西他赛+卡培他滨+曲妥珠单抗方案化疗10个周期,最佳疗效为PR,不良反应为卡培他滨引起的手足综合征。

 

  讨论五:对于HER-2阳性的转移性乳腺癌患者,给予联合化疗+靶向治疗后获得了较好的疗效,接下来如何选择治疗方案(停药or单药维持化疗or单药维持化疗+靶向药物维持治疗)?

 

  陈玉卿教授:对于晚期肿瘤或放化疗所致手足综合征患者,可以建议配合中药治疗,以达到提高免疫力、扶正祛邪的目的,而且可以在一定程度上降低放化疗的副反应。手足综合征也可以配合一些中草药治疗。

 

  观点1:如果抛去经济问题不考虑,如用药10个周期患者身体无严重反应而仅是手足综合征可选择单药化疗+曲妥珠单抗治疗。

 

  观点2:在当时条件下,患者的初治方案较为合理也是有效的。现在还可以选择两个抗HER-2单抗联合的方案。联合用药10周后面临的问题是如何维持治疗,如果患者条件允许可以继续应用抗HER-2治疗,可将停用毒性较大的多西他赛,在手足综合征控制较好情况下可以使用卡培他滨+曲妥珠单抗继续维持。

 

  抗HER-2治疗的疗程,对于早期乳腺癌患者,建议抗HER-2使用一年;对于晚期、复发的乳腺癌患者, ABC3会议上专家讨论的结果也认为抗HER-2治疗疾病缓解时可以停药一段时间,但用药时间并没有明确定论。

 

  马飞教授:对于晚期乳腺癌尚无统一的治疗推荐。曾经有一例多线治疗后肝转移的患者,用曲妥珠单抗治疗疗效达到CR。2002年时并无三周一次的给药方法,患者每周一次给药治疗9年,疗效一直维持在CR,9年后发生进展。临床实践中常遇到的问题是因为经济条件和不良反应导致治疗终止。

 

  选择一线治疗方案时要考虑的因素包括病理类型、既往治疗、既往辅助治疗所用药物等。乳腺癌晚期至进展维持治疗的理念已得到共识,选择一线治疗时需考虑如何维持。本例患者ER(-)、PR(-)、HER-2(+),用曲妥珠单抗联合化疗的方案,指南推荐紫杉类、长春瑞滨、卡培他滨,或卡培他滨单药治疗,而临床选择时需要有更多的考虑。紫杉类和氟尿嘧啶间有疗效促进作用,紫杉类通过上调TP酶促进卡培他滨的疗效。曲妥珠单抗联合化疗有叠加、促进作用,但临床前研究也发现氟尿嘧啶对曲妥珠单抗的作用有抵消,目前推荐联合紫杉类,但临床实践也发现卡培他滨无抵消作用。因此,虽然都是化疗药物,但临床应用时可表现出不同的特点。

 

  对于本例患者,在制定一线治疗方案时即考虑了后期治疗问题。如果经济条件允许应该使用曲妥珠单抗维持,否则静脉化疗维持可能也有困难。本例加入卡培他滨的目的即是考虑,在患者经济条件不允许时也可以以卡培他滨单药维持治疗。

 

  兰波教授:对于初治的晚期乳腺癌患者,给予一线化疗方案治疗4~6个周期后,如果患者获益(达到CR或PR或SD),之后可以选择高效、低毒、给药方便的化疗药物作为维持治疗直到患者疾病出现进展。2010年ESMO会议报告一项对转移性乳腺癌的meta分析(Gennari A et al. ESMO 2010 Abst 2760.)显示延长化疗方案的使用时间可以明显改善患者的PFS和总生存率。那么,究竟哪种药物可作为维持治疗的而药物呢?目前乳腺癌的一线治疗药物有五大类:卡培他滨、长春瑞滨、紫杉类药物、蒽环类药物和吉西他滨,虽然这五种药物单药治疗乳腺癌均有效,但是从长期使用的安全性方面考虑可以剔除蒽环类(心脏、血液系统毒性)、紫杉类和长春瑞滨(外周神经、血液系统毒性),卡培他滨不仅不良反应较少,而且有口服给药剂型,所以选择卡培他滨最为合适。

  病情介绍

 

  当时给予患者卡培他滨+曲妥珠单抗的维持治疗1年的治疗方案。2010年7月常规复查胸部CT发现双肺转移病灶较前增大,并出现新发的肿大淋巴结,提示病情出现进展,先后给予NVB+曲妥珠单抗、NVB+替吉奥、替吉奥、顺铂+吉西他滨等方案化疗,治疗1年均无缓解(最佳疗效为SD)。

 

  讨论六:对于HER-2阳性、转移/复发的乳腺癌患者,给予多种联合化疗+靶向治疗,疗效不佳的可能原因有哪些?如何选择其他治疗方案?

 

  观点1:确定取组织病理检测是否可行,然后进行个体化治疗。

 

  观点2:无法取到组织时,目前的条件可以尝试取循环肿瘤细胞(CTC)或循环肿瘤DNA(ctDNA)进行检测了解是否有耐药。

 

  观点3:CTC、ctDNA液态活检与临床的吻合度有待进一步验证。2010年时再次取活检的方法尚未广泛应用。宋三泰教授曾指出不要放过对任何患者进行内分泌治疗的机会,此患者一直在应用化疗,从未尝试内分泌治疗。对ER(-)、PR(-)转移的患者,在无方案可用时,有可能内分泌治疗也是一种选择。其原因尚不清楚。

 

  观点4:乳腺癌患者液态活检检出率较高,但是很难找到可以体外增殖的干细胞。那么,大约取多少细胞后可通过免疫组化检测到细胞膜上ER、PR的阳性表达?或者瘤细胞崩解时,游离ctDNA是否可预测ER、PR的情况?

 

  观点5:瘤细胞崩解时病理不易做。

 

  观点6:用CTC检测受体表达,单细胞也可用细胞免疫组化、RNA杂交检测。目前存在的问题是检测到的每个细胞ER、PR表达状态不同,用于判断患者的临床状态存在困难;在指导临床治疗如内分泌治疗、抗HER-2治疗时,没有确定的标准进行判定。

 

  兰波教授:患者于2011年8月行左肺下叶病灶粗针穿刺活检术,病理回报:低分化腺癌,免疫组化:ER(+++)、PR(+++)、HER-2(-),和原发灶完全不同,考虑为Lumina型乳腺癌。

 

  鲁海珍教授:免疫组化鉴别是否肺原发癌病史很重要。如果ER、PR阳性,免疫组化TGF等肺癌标记物显示阴性,而GCPFp-15等乳腺癌标记物显示阳性,可以支持左下肺病灶为乳腺癌转移癌。单纯形态学方面,肺原位腺癌和乳腺转移癌的细胞形态本身有较大差异,前者周边可以出现沿肺泡生长的附壁结构。本例患者乳腺癌原发灶病理显示导管癌Ⅰ~Ⅱ级,说明腺管形态明显,而肺低分化腺癌腺管形态不明显。如果单纯孤立结节,病灶周边没有附壁结构等形态学改变则很难鉴别。因此,有必要进行免疫组化检测。

 

  问题:假如在复发当时活检就得到此病理结果,化疗同时是否还加用抗HER-2治疗?

 

  兰波教授:患者在第一次疾病复发、进展时,给予联合化疗+抗HER-2治疗,使疾病在近两年的时间内得到控制,说明化疗或者抗HER-2治疗使患者获益;推测患者肺内病灶可能存在异质性,即HER-2阳性细胞和HER-2阴性细胞同时存在。

 

  观点1:文献回顾发现,受体类型发生改变的概率并不低,有1/4的患者在疾病发展过程中可能存在ER、PR类型的改变,而HER-2类型的改变相对较少,大约只有10%左右的发生率。但是,对于已经有转移病灶的晚期肿瘤患者,转移病灶的穿刺结果不一定能代表整体病灶的情况,恶性程度高的细胞更容易转移,这就可以解释为什么患者初次手术病理结果为分化较好的Ⅰ~Ⅱ级,而转移病灶穿刺结果却为低分化腺癌。而且,理论上来说,HER-2阳性细胞的恶性程度明显高于HER-2阴性细胞,即HER-2阳性细胞转移的概率更高,所以,我建议继续给予针对原发灶的抗HER-2治疗。

 

  观点2:目前,对于复发/转移的患者,建议对复发病灶或者转移病灶再次活检,如果活检结果和原发病灶病例结果一致,治疗方案的制定不会存在太大争议;如果活检结果和原发病灶病例结果不一致,应该以哪一个病灶的结果作为诊断来继续治疗?多数专家认为应该以复发病灶的检测结果作为继续治疗的依据,至少一线治疗方案可以这样选择。结合此患者,可以首先给予联合化疗,如果效果欠佳,再考虑给予针对原发病灶的抗HER-2治疗。

 

  病情介绍

 

  当时给予了患者药物去势联合三苯氧胺的内分泌治疗,约1年疗效为SD;2012年7月给予肺内转移灶和肿大淋巴结的放疗,放疗后复查发现肝脏出现多个新发结节,考虑肝转移。

 

  讨论七:此时的治疗有哪些(内分治疗or联合化疗or针对肝脏病灶的局部治疗)?

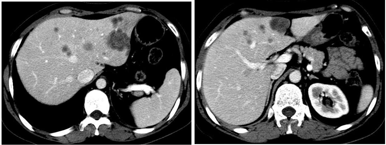
  图1 肝转移病灶

 

  郑伟教授:根据转移病灶的穿刺结果,建议给予药物去势联合三苯氧胺的内分泌治疗。同时,以往也发现对于ER(-)、PR(-)者给予三苯氧胺或甲地孕酮治疗,约8%患者有效,可能就是因为有一部分细胞克隆是HER-2阳性,因此,建议同时给予抗HER-2治疗。

 

  马飞教授:患者当时全身状态稳定,但颈部淋巴结肿大,对于转移性的晚期患者,局部进展后的放疗选择有哪些?

 

  房辉教授:对于已经有广泛远处转移的晚期肿瘤患者,不建议放疗。但是,如果患者经过化疗后全身病灶达到稳定,仅某个部位对化疗反应不好,并且患者一般情况尚可,可以给予姑息放疗,此时给予放疗的目的是减轻患者局部的临床症状,但对患者的生存并没有明显改善。

 

  本例患者肝内出现新发、多发病变,说明全身病变处于活跃进展期,这种情况下不能给予肝脏放疗。事实上,放疗对肝转移癌效果很好,但本例患者不适合局部放疗,应该以全身内科治疗为主。待病情稳定、肝脏病变由多个缩小为1~3个,且病变不大时可以考虑放疗。

 

  邸立军教授:患者肺部转移病灶病理提示ER(-)、PR(-),给予内分泌治疗后疾病稳定近1年,之后出现肝脏的多发转移。这种情况局部治疗不是首选,化疗方案用过多个(针对肺转移癌),因此,最好能够穿刺活检。由于已从一线内分泌治疗获益,可以尝试给予二线内分泌治疗,即在药物去势的基础上联合AI类,或依维莫司,或氟维思群。如患者能够接受手术去势也可以考虑。

 

  病情介绍

 

  2012年8月给予甲地孕酮+VP-16方案化疗3个周期,复查提示肝脏病灶继续增大,考虑疾病进展;2012年10月行肝脏病灶穿刺,病理结果显示ER(-)、PR(-)、HER-2(-),Ki-67:20%,考虑为三阴性乳腺癌。给予紫杉醇+卡铂方案化疗6个周期后,肝脏病灶明显缩小,肺部病灶也得到控制,但是出现轻度药物性肝损伤。

 

  讨论八:此时应该给予单药维持or暂停化疗后给予针对肝脏病灶的局部处理,例如放疗、介入?观点:可以考虑在维持化疗的基础上,给予肝脏的局部放疗(立体定向放疗)。以往也发现对局部大的病灶放疗后,在没有化疗或靶向治疗配合情况下其他小的或微转移病灶也可能缩小或消失。

 

  房辉教授:CT报告提示肝脏病灶明显好转,仅存一个大小约1.1cm的病灶,同时肺部病灶较稳定,如果肝功能达到A级,可以给予肝脏的局部放疗。

 

  兰波教授:给予紫杉醇单药治疗2个周期后疾病进展,患者由于其他原因放弃继续治疗,3个月后患者去世。

 

  回顾与讨论

  图2 三次病理免疫组化

  A1-3:原发灶ER,PR,HER2免疫组化

  B1-3:肺转移灶ER,PR,HER2免疫组化

  C1-3:肝转移灶ER,PR,HER2免疫组化

 

  兰波教授:国际上有较多关于乳腺癌激素受体变化的研究。2004年,Franco A等人发表在JCO的meta分析显示乳腺癌患者原发灶和转移灶ER和PR的变化率高达29%和27%;2012年瑞典学者Linda等在JCO报道原发灶和转移灶ER和PR的变化率约30%~40%,HER-2变化率略大于10%。因此,NCCN指南指出对于复发/转移的乳腺癌患者,建议重新活检,以获得最新的免疫组化结果。而出现这种变化的原因,考虑与肿瘤生物学性质改变、肿瘤异质性、治疗对细胞系的选择、检测手段的误差有关。

 

  回顾患者病史,患者于2005年行改良根治术+术后辅助化疗,DFS达到3年;2008年底使用一线化疗方案维持治疗约1.5年,之后一直联合化疗效果不好;2011年7月给予重新活检,根据免疫组化结果选择内分泌治疗,SD一年余;之后发生肝转移,重新穿刺活检根据IHC改变选择三阴性乳腺癌治疗方案紫杉醇+卡培他滨患者亦得到明显获益。

 

  根据以上治疗经过得到两点体会:①如果患者出现新发病灶,在条件允许时应该给予活检,在最新病理结果指导下给予治疗;②如果出现单一的转移病灶,在全身治疗使患者病情得到控制的前提下,可与外科或放疗科进行多学科的协作,加强局部控制。但对于肺和肝的多发转移治疗选择不够多。

 

  总结

 

  马飞教授:首先,本例乳腺癌是一种异质性很显著的肿瘤,对临床治疗影响很大。异质性强的肿瘤总体预后不好,甚至可转变为luminal型。本例患者一线内分泌治疗1年,二线治疗无效,其后转变为三阴性乳腺癌,用含铂方案治疗疾病也有进展,因此,本例乳腺癌与传统的三阴性乳腺癌不同。这种转变来的异质性明显的肿瘤整体预后不好。由其他肿瘤研究获知,异质性强、突变多的肿瘤免疫原性较强,未来免疫治疗可能会有突破。

 

  第二,对于转移的乳腺癌患者应尽量取组织活检,有助于应用精准治疗。对无法活检者,细胞生物学技术如液态活检包括CTC、ctDNA检测可能进一步推动临床实践。

 

  第三,对于晚期乳腺癌治疗目前没有金标准,因此,指南最多推荐至一线治疗。这种情况下,临床工作中需要全面考虑;目前强调精准医疗,但临床经验也不容忽视,尤其是当临床与检测结果不符时。未来,包括乳腺癌在内的晚期肿瘤,将循证医学、精准医学、临床经验三方面相结合对临床工作很重要。

本内容仅供医学专业人士参考


乳腺癌多学科讨论MDT

分享到: 更多