当前位置:肿瘤瞭望>资讯>研究>正文

靶免联合,曙光初现 | 一例汉曲优?联合抗PD-1单抗围手术期治疗HER2阳性胃癌的病例分享

作者:肿瘤瞭望   日期:2022/4/10 11:31:48  浏览量:24882

肿瘤瞭望版权所有,谢绝任何形式转载,侵犯版权者必予法律追究。

胃癌是我国发病率最高的消化道恶性肿瘤,死亡率一直居高不下。表皮生长因子受体2(HER2)阳性胃癌是一种特殊类型的胃癌,在中国胃癌组织HER2阳性率为12~13% [1]。HER2扩增本身预示着治疗效果不佳,研究结果显示HER2扩增与患者低5年生存率相关。胃癌组织HER2扩增使患者获得了靶向治疗的机会。ToGA研究结果证实曲妥珠单抗联合化疗可显著延长HER2阳性转移性胃癌患者的总生存期,随着免疫检查点抑制剂在胃癌上的获批,HER2阳性患者在化疗基础上再给以靶免联合进一步延长总生存期。本文分享了一例汉曲优?联合抗PD-1单抗围手术期治疗胃癌的病例,展示了联合方案的临床获益和安全性。

▌ 病例作者:甘肃省人民医院  杨丽平

▌ 点评专家:甘肃省人民医院  达明绪
 
编者按
 
●胃癌是我国发病率最高的消化道恶性肿瘤,死亡率一直居高不下。表皮生长因子受体2(HER2)阳性胃癌是一种特殊类型的胃癌,在中国胃癌组织HER2阳性率为12~13% [1]。HER2扩增本身预示着治疗效果不佳,研究结果显示HER2扩增与患者低5年生存率相关。胃癌组织HER2扩增使患者获得了靶向治疗的机会。ToGA研究结果证实曲妥珠单抗联合化疗可显著延长HER2阳性转移性胃癌患者的总生存期,随着免疫检查点抑制剂在胃癌上的获批,HER2阳性患者在化疗基础上再给以靶免联合进一步延长总生存期。本文分享了一例汉曲优®联合抗PD-1单抗围手术期治疗胃癌的病例,展示了联合方案的临床获益和安全性。
 
病史简介
 
患者,男,56岁;
主诉:返酸、嗳气伴间断性上腹部隐痛6月余;
既往史:既往体健,否认高血压、糖尿病、冠心病病史,否认肝炎、结核等传染病史。
现病史:患者6月前无明显诱因出现返酸、嗳气,伴间断性上腹部隐痛,呈烧灼样疼痛,无恶心呕吐、无腹胀便秘、无咳嗽咳痰、无胸闷气短,曾出现黑便一次。近两月腹痛加重,就诊于当地医院。
行腹部CT示:胃窦部癌(T3/4期),幽门上下区多发小淋巴结。胃镜示:胃角癌,慢性萎缩性胃炎伴糜烂。活检病理示:胃角低分化腺癌(Lauren分型:弥漫型)。病程中患者精神可,饮食睡眠尚可,小便正常,体重减轻约8公斤。
家族史:无。
体格检查:上腹部深压痛,心肺未见明显异常。
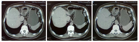
影像学检查:2021.02.20腹部CT:胃窦癌(T3/4期)幽门上下多发小淋巴结。
 
图1 腹部CT
 
2021.02.25:胃十二指肠超声造影:胃角及相邻胃壁不规则增厚并巨大溃疡形成,溃疡型恶性肿瘤(预评估T4a)。
 
肿瘤基本病理:
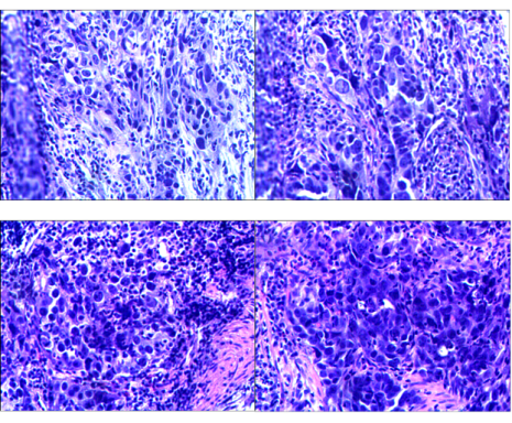
2021.02.24:外院胃镜活检组织病理切片提示胃角低分化腺癌,lauren分型:弥漫型。
 
图2 胃镜活检组织病理切片
 
肿瘤分子病理:
胃癌标本FISH检测:HER2(扩增)
 
图3 FISH检测
 
免疫组化(VENTANA全自动化学染色):MLH1(-内对照+);MSH(+);MSH6(+);PMS2(-内对照+);EBER(-)。
 
图4 免疫组化(左:PMS2   右:EBER)
 
临床诊断:胃窦癌;腹腔淋巴结转移;cT4aN1M0  ⅢA期;HER2阳性;dMMR。
 
治疗方案及疗效评估
 
治疗方案:2021.3.1-5.20给予新辅助治疗
用量:汉曲优®首剂640mg,后450mg d1,q3w;抗PD-1单抗 200mg d1,q3w;替吉奥60mg bid p.o d1-14;奥沙利铂240mg d1,q3w;共4个周期。
每两个周期进行一次疗效评估。
治疗后观察:治疗4周期后,疗效评估cCR;患者无明显发热,体重无明显降低,嗳气、上腹部不适症状好转。胃肠反应Ⅰ度,骨髓抑制Ⅰ度。
增强CT检查(2021.4.14):胃角、胃窦小弯侧局部胃壁增厚,考虑胃癌(T3N0M0)。
增强CT检查(2021.6.9):胃腔充盈良好,胃壁未见局限性增厚,胃窦部胃壁未见异常强化(见图5)。
胃镜检查(2021.6.9):慢性萎缩性胃炎C1伴糜烂(见图6)。
胃十二指肠超声造影(2021.6.15):胃角部恶性肿瘤,病灶范围局限于胃角,明显缩小,预评估UT2期
 
图5 增强CT
 
图6 胃镜
 
2021年6月16日行根治性远端胃切除+D2站式淋巴结清扫+毕Ⅰ式吻合术,术中胃角见2cm溃疡病变,周围多发淋巴结肿大。
 
术后病理显示:(远端)胃,慢性萎缩性胃炎,轻度肠化。小灶粘膜腺体伴低级别上皮内瘤变,新辅助化疗后AJCC/CAP病理评估标准:TRG 0级,即未见癌细胞(完全消退),上、下切缘未见明显异常。淋巴结未见转移癌。
 
1. ypT0N0M0 pCR
 
2021年7月6日至9月23日行术后辅助化疗:汉曲优?450mg d1,q3w;抗PD-1单抗200mg d1,q3w;替吉奥60mg bid p.o d1-14;奥沙利铂240mg d1,q3w;共4个周期。病情稳定。不良反应:胃肠反应Ⅰ度,骨髓抑制Ⅰ度。给予止吐,升高白细胞及血小板治疗后缓解。
 
▌病例小结
 
该患者为初诊初治的HER2阳性胃癌,临床分期cT4aN1M0 ⅢA期,FISH检测为HER2扩增。根据2021版CSCO胃癌诊疗指南推荐,T3/4N+患者建议先行新辅助化疗,再行手术治疗。曲妥珠单抗适用于晚期或转移性HER2阳性胃癌,在局限期胃癌上并无适应症。针对本患者,为了追求更有效的新辅助化疗疗效,经多学科会诊讨论,尝试使用曲妥珠单抗、抗PD-1单抗联合化疗用于围手术期,术前4周期疗效显著,有明显降期,术后病理提示达到pCR,原方案术后辅助化疗4周期,副反应较小,说明曲妥珠单抗联合抗PD-1单抗治疗的疗效及安全性良好。
 
专家点评
 
该患者为HER2阳性错配修复基因缺陷的局部晚期胃癌,予以靶免联合化疗方案,经过4个周期的术前新辅助治疗,胃原发灶缩小明显,周围淋巴结转移灶消失,术后疗效评价为pCR。HER2阳性胃癌侵袭性强、复发率高、预后不良。临床实践中对于HER2阳性晚期胃癌,抗HER2治疗都有举足轻重的地位。但是对于HER2阳性的局部晚期胃癌,无论是术前新辅助治疗还是术后辅助治疗,曲妥珠单抗仅尝试作为抗HER2靶向药物,该药的问世和广泛使用可能会显著改变HER2阳性局部晚期胃癌的治疗策略和预后。
 
针对HER2阳性晚期胃癌一线治疗的ToGA研究[2]显示曲妥珠单抗联合顺铂及5-FU或卡培他滨对比单纯化疗组,中位OS联合治疗组较单纯化疗组显著延长(13.5个月vs. 11.1个月,P=0.0048),客观缓解率(ORR)分别为47.3%和34.5%(P=0.0017),无症状的左室射血分数下降分别为4.6% vs.1.1%,其他安全性相似。
 
HER-FLOT研究[3]探讨了曲妥珠单抗联合FLOT 围手术期治疗HER2阳性局部进展胃食管腺癌治疗的疗效。研究结果显示,4个周期曲妥珠单抗联合FLOT新辅助化疗方案达到主要研究终点pCR,在52例评价标本中pCR率为23%。
 
2015年的一项Ⅱ期研究NEOHX 试验[4]探讨了曲妥珠单抗+卡培他滨/奥沙利铂围手术期治疗HER2阳性可切除GC/EGJ腺癌的疗效,结果显示3个周期 XELOX-T新辅助化疗方案18个月的主要研究终点DCR为71%,达到预期。围手术期XELOX+T方案治疗HER2阳性可切除GC/EGJ腺癌可行,疗效确切,ORR和pCR率分别为39%和8%。
 
研究显示,HER2阳性胃癌患者中,伴微卫星高度不稳定者仅占2.2%,因此推测胃癌组织中HER2基因扩增与MSI-H可能互相排斥,但本例患者为非常罕见的HER2阳性伴dMMR胃癌。我们借鉴了KEYNOTE-811研究[5]的治疗:帕博利珠单抗联合曲妥珠单抗和化疗可以将HER2阳性晚期胃癌患者ORR提升至74.4%,治疗方案安全有效。因此,我们根据患者的分子病理特征结合实际情况选用了曲妥珠单抗+抗PD-1单抗+SOX方案进行围手术期治疗,达到了pCR,且不良反应轻微,为将来进一步探讨此类患者的治疗做出了尝试。
 
根据《CSCO中国生物类似药专家共识》[6]:生物类似药与参照药疗效等同、安全性相似,临床上可以替代使用。此外,2021年CSCO胃癌诊疗指南[7]也将生物类似药纳入指南推荐。汉曲优®作为国内首个中欧同步上市的曲妥珠单抗生物类似药,其Ⅲ期临床研究结果显示,汉曲优?与原研曲妥珠单抗疗效等效,安全性、免疫原性相似。根据“适应证外推”原则,汉曲优?获批了HER2阳性晚期胃癌的适应证。
 
本病例中,患者为HER2阳性伴dMMR胃癌,在经汉曲优®+抗PD-1单抗+SOX方案进行围手术期治疗后,达到了pCR,且不良反应轻微。证实了汉曲优®在HER2阳性胃癌患者治疗上疗效显著,安全性良好,也进一步证明生物类似药与原研产品疗效等同,临床上可以替代使用。
 
病例作者简介
 
杨丽平
 
副主任医师,医学博士
 
中国医药质量管理协会细胞治疗质量控制与研究专业委员会委员
 
亚太医学生物免疫学会青年委员
 
中国研究型医院学会生物治疗学专业委员会委员
 
甘肃省抗癌协会恶性实体瘤免疫治疗专业委员会常委
 
甘肃省抗癌协会胃癌/大肠癌专业委员会青年委员会委员
 
甘肃省医师学会整合医学分会肿瘤专业委员会委员
 
甘肃省医师学会整合医学分会肿瘤康复治疗专业委员会委员
 
病例点评专家简介
 
 
达明绪
 
主任医师,医学博士,教授,博士生导师
 
中国医师协会肝癌专业委员会委员
 
中国抗癌协会肉瘤专业委员会委员
 
中国抗癌协会肿瘤支持治疗专业委员会委员
 
甘肃医师协会胰腺病医师委员会主任委员
 
甘肃老年医学会胃癌专业委员会主任委员
 
甘肃老年医学会肝胆胰外科专委会副主任委员
 
甘肃医学会肿瘤专业委员会副主任委员
 
甘肃医师协会肿瘤分会常委
 
参考文献
 
(上下滑动可查看)
 
[1] 张俊, 秦叔逵. HER2 阳性晚期胃癌分子靶向治疗的中国专家共识(2016 版). 临床肿瘤学杂志, 2016, 21(9): 831-839.
 
[2] Bang Y J , Cutsem E V , Feyereislova A , et al. Trastuzumab in combination with chemotherapy versus chemotherapy alone for treatment of HER2-positive advanced gastric or gastro-oesophageal junction cancer (ToGA): a phase 3, open-label, randomised controlled trial[J]. LANCET -LONDON-, 2010.
 
[3] Hofheinz R , Hegewischbecker S , Thusspatience P C , et al. HER-FLOT: Trastuzumab in combination with FLOT as perioperative treatment for patients with HER2-positive locally advanced esophagogastric adenocarcinoma: A phase II trial of the AIO Gastric Cancer Study Group.[J]. Journal of Clinical Oncology, 2014, 32(15_suppl):4073-4073.
 
[4]  F  Rivera,  Jimenez P ,  Alfonso P G , et al. NeoHx study: Perioperative treatment with trastuzumab in combination with capecitabine and oxaliplatin (XELOX-T) in patients with HER2 resectable stomach or esophagogastric junction (EGJ) adenocarcinoma--R0 resection, pCR, and toxicity analysis.[J]. Journal of Clinical Oncology, 2013, 31(15_suppl):4098-4098.
 
[5] Janjigian Y Y ,  Kawazoe A ,  Yaez P , et al. The KEYNOTE-811 trial of dual PD-1 and HER2 blockade in HER2-positive gastric cancer[J]. Nature, 2021, 600.
 
[6] 生物类似药研发与评价技术指导原则(试行).
 
[7] 中国临床肿瘤学会指南工作委员会. 胃癌诊疗指南2021版[J]. 2021.

 

本内容仅供医学专业人士参考


HER2阳性胃癌

分享到: 更多